What is the ring of fire. I think its referring to crowning.
This video is part 3 of 3 in our video series.
What is the ring of fire pregnancy. This is called the ring of fire and it pretty much defines the culmination of what the woman has gone through in nine months of carrying her little bundle of joy. The Ring of Fire can be defined by a burning sensation that some women describe during a drug-free birth when babys head crowns. It has basically been defined as feeling like someone pulling the edges of ones lips apart and.
Its the feeling created when the baby is crowning when its head is pushing on the vaginal opening and stretching the tissues there. And why is it called the ring of fire during childbirth. Because its a burning sensation happening all around your vaginal opening so its a.
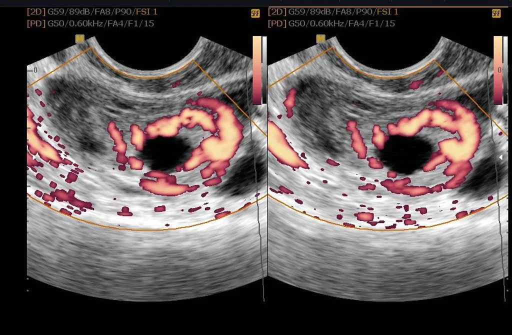
The ring of fire sign also known as ring of vascularity signifies a hypervascular lesion with peripheral vascularity on color or pulsed Doppler examination of the adnexa due to low impedance high diastolic flow 1. This sign can be seen in. Corpus luteum cyst more commonly ectopic pregnancy.
Crowning is often referred to as the ring of fire in the birthing process. Its when your babys head becomes visible in the birth canal after youve fully dilated. Its the home stretch in.
Most people call it the ring of fire. What is the ring of fire. Obviously youre not on fire but there is a lot of burning as the tissues around your vagina stretch.
Where is your perineum. It is the area between your vagina and your rectum. That area often tears or can be cut thats call an episiotomy as the baby comes out.
An ill defined heterogeneously echogenic extraovarian oval mass in right adnexa with an eccentrically located cystic structure and peripheral vascularity around it ring of fire sign. The pelvic cavity shows moderate amount of free fluid with floating echoes within suggestive of hemorrhagic fluid. Cindy cindyvamaya has created a short video on TikTok with music 2002.
Reply to tiannavallon12 what is the ring of fire. Laboranddelivery laborthings firsttimemom pregnancy epidural newborn What is the ring of fire. Its when the cervix has been fully stretched and.
You can start seeing the babys head. Ring of fire Zee World is an amazing tale of one eligible bachelor two possible suitors and 3 families caught in a tug-of-war. What happens when an unexpected love triangle turns into a wild burning blaze.
Ring of fire is back on Zee world but the series will start from the beginning. Ring of fire full story. Anurag Singh is an MBA graduate who has returned to his native town in Bihar.
Are you a first time mom wondering what happens during birth and especially during the delivery stage. This video is part 3 of 3 in our video series. I heard about this ring of fire.
I think its referring to crowning. I dont remember the specific moment so nothing I noticed. I did have some burning between pushes but that seemed normal I was pushing out my chunky baby lol but really I was surprised how labour was nothing like I had feared.
I felt like a super hero. Lol dont worry. Best of luck.
A corpus luteum of pregnancy will typically show the classic ring of fire pattern which is seen in the first image above in the ovary on the left side of the image. The separate round mass with a ring of hypervascularity demonstrates a classic tubal ring. The ring of fire is something some women experience when their babys head crowns during vaginal birth.
It presents a burning sensation thus its name. Not every woman experiences this pain and not at every birth. It is good to prepare for it just in case.
Similarly the ring of fire sign shows peripheral hypervascularity of the hyperechoic ring and represents high-velocity low-impedance flow surrounding the pregnancy. The ring of fire sign however is nonspecific and can be seen around a normal maturing follicle or corpus luteal cyst. Pellerito JS Taylor KJ Quedens-Case C et al.
Evaluation with endovaginal color flow imaging. Radiology 1832407411 Radiology 1832407411 CAS. GRAPHIC CONTENT Around 445pm 20 minutes of pushing.
My Midwife Rick Doula were AMAZINGNEXT.